I got this history from my 2nd year pg sir
Case
18-5-2020
A 30 years old male patient who is Shepard by occupation presented to our op with bilateral pedal edema extending up to knee and also with dyspnea on exertion since 15 days and he also given the history of palpitations since 1 year .
Decresed urine output since 2 days.
Patient apparently asymptomatic 1 year back then he developed the palpitations which were persistent and ponding type and get precipitated on exertion and relieved by taking rest, patient started to have dry cough without any expecteration in last 15 days he first became brethless for walking for a short distance. He also reported in getting upstairs and walking from one day before coming to hospital
He reported he never felt dyspnic before and never felt orthopnea or PND
He has no H/o fatigue ,no H/o cyanosis or hemoptysis
He has no H/o jaundice & no hesitency and frequency in micturation
Past history
No history of similar complaints in the past
No H/o DM ,HTN,TB,Branchial asthma
Personal history
Appetite - decreased
Sleep - inadequate
Bowel & bladder movements - regular
No addictions
No known allergies
Family history
They reported no history of similar complaints in family
General examination
Patient is concious , coherent and cooperative
Moderately built and moderately nourished
Pallor- absent
Icterus-absent
Cyanosis - absent
Clubbing - absent
Lymphadenopathy- absent
Edema- bilateral pitting type of pedal edema extending upto knee
He has undecended testis ( cryptorchidism) ,very less facial hair ,no axillary hair,less pubic hair belonging to tanner stage 4
Vitals
Temperature: afebrile
Pulse:. 124 beats /minute
Respiratory rate: 20 cycles/ min
Blood pressure: 120/70 mmHg examined on supine position
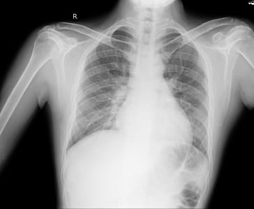
Cardiac examination:
-Visible pulsation over tricuspid and mitral areas
-Apex beat felt over 5th intercostal space with in mid clavicular line which is forceful and well sustained
-Right ventricular heave is present
-jvp raised with prominent 'a' wave
-s1 and s2 were heard with prominent p2
Respiratory examination:
Bilateral air entry present with normol vesicular breath sounds
Abdominal examination:
Abdomen is soft ,nontender, all quadrents are moving equally with respiration
No organomegaly ,bowel sounds are heard
CNS EXAMINATION
The patient is consious , coherent, cooperative, oriented to time ,place and person
HMF are intact
Minimental score is 28
Patient is like high stepping gait
Motor system examination:
Right. Left
Bulk:UL. N. N
LL. N. N
Tone:UL. N. N
LL. N. N.
power: UL: biceps. : 4/5
Triceps. :. 4/5
Deltoid. :. 5/5
Wrist flexors. : 4/5
Wrist extensors. :. 4/5
LL: glutius. : 5/5
Iliosoas. :4/5
Quadriceps. :3/5
Gastronemius. : 4/5
Reflexes:
RT. LT
superficial.
Corneal. P P
Conjuctival. P. P
Abdominal. P. P
Cremastric. P. P
Plantor. P. P
Deep:
Biceps. +1. +1.
Triceps. +1. +1
Supinator. +1. +1
Knee jerk. +1. +1
Ankle jerk. +2. +2
Sensory examination :
Anterio lateral senses are intact on both sides
Dorsal tract senses are also intact
Tactile localisation is Normal
Two point descrimination impaired on lower limbs
Cerebellum:finger nose test : rapid
Finger - finger test : rapid
Coordination: intact
Absent meningial signs
Skull and spine are normal
Provisional diagnosis:
-Right ventricular failure with primary Pulmonary artery hypertension
-Hypogonadism (tanner stage 4)
-Lower limb proximal myopathy
-Oral candidiasis with poor oral hygiene
- impaired glucose tolerence
Treatment given
Tab. Pantop 40 mg po/ OD
Inj. Lasix 20 mg iv/ BD
Inj. Thiamine 1amp. in 100 ml NS
Inj. Optineurin 1amp in 100 ml NS
Tab sildenafil 10mg po OD
Tab benformet plus od
On diuretic therapy and vaso dilator therapy patient got better and discharged in stable condition
Advice at discharge
Fluid (1.5 to 2 L/day) and salt (2 gm /day) restriction
Tab sildenafil 10 mg po/bd
Tab benformet po/OD for 2 weeks
Chlorhexidine oral gargles for two weeks
Oral candid paint
Diet according to Harvard plate
Work up for FSH,LH,GNRH
Review after 2 weeks












The active learning session linked below was initiated by the treating unit PG before the treating unit intern collated the patient information into this E log above
ReplyDeletehttps://medicinedepartment.blogspot.com/2020/05/re-active-learning-session-on-global.html?m=1